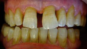
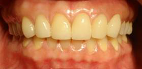
วีเนียร์ เป็นแผ่นวัสดุ อาจทำจากวัสดุอุดคอมโพสิท หรือวัสดุเซรามิกก็ได้ ใช้ในการบูรณะเคลือบฟันหรือเนื้อฟัน โดยมากนิยมทำเป็นเซรามิก (หรือจะเรียกว่าพอสซเลนก็ได้) เพราะเป็นวัสดุที่ให้ความสวยงามใกล้เคียงฟันธรรมชาติที่สุด อาจใช้ในกรณีการบูรณะฟันบิ่น ฟันแตก ปรับเปลี่ยนรูปร่างฟัน ปิดช่องฟันห่าง หรือเปลี่ยนสีฟัน






การทำวีเนียร์ใช้เวลาพบทันตแพทย์ 2-3 ครั้ง ดังนี้
(1) ครั้งแรก ตรวจ กรอฟันให้พร้อมสำหรับใส่วีเนียร์ แล้วพิมพ์ปาก ทันตแพทย์จะทำวีเนียร์ชั่วคราวจากวัสดุอุดฟัน ใส่ให้ไปก่อน
(2) ครั้งที่สอง มาติดวีเนียร์ตัวจริง(วีเนียร์แบบเซรามิกหรือพอสซเลน จะทำมาจากแลปทันตกรรม เผาในเตาเผาอุณหภูมิประมาณ 1,000 องศา และใช้เวลานานพอสมควรในการขัดแต่งให้เงางาม)
(3) ครั้งที่สาม มาให้ทันตแพทย์ตรวจเช็คหลังการใช้งาน
ถ้าเป็นกรณีที่ทำหลายๆ ซี่ หรือต้องการแก้ไขรูปร่าง สี หลายๆ อย่าง อาจมีขั้นตอนปรึกษาและทำแบบจำลองมาให้ดูก่อน แล้วค่อยทำจริงเพื่อให้ผลการรักษาเป็นที่พอใจตรงกันทั้งหมอและคนไข้
