รากฟันเทียม คือ แท่งโลหะไททาเนียมที่ฝังลงไปในกระดูกขากรรไกรเพื่อทดแทนรากฟันจริงซึ่งถูกถอนออกไปพร้อมตัวฟัน เพื่อให้ทำหน้าที่รองรับแรงบดเคี้ยวที่ส่งมาจากตัวฟัน รากฟันเทียมมีลักษณะการใช้งานและการดูแลรักษาใกล้เคียงกับฟันจริงมากที่สุดเมื่อเทียบกับฟันปลอดทุกชนิด

รากเทียมมีลักษณะการใช้งานใกล้เคียงกับฟันจริงมาก
ส่วนประกอบหลักของรากเทียมมี 3 ส่วน เรียงจากขั้นตอนการทำรากฟันเทียม คือ
1. รากฟันเทียมหรือ Fixture เป็นส่วนที่ทำหน้าที่ทดแทนรากฟันธรรมชาติที่สูญเสียไป คือ รองรับแรงบดเคี้ยวจากด้านสบฟัน เพื่อส่งต่อแรงสู่กระดูกขากรรไกรรอบๆ รากฟัน รากฟันเทียมส่วนนี้จึงเป็นส่วนที่ทันตแพทย์ฝังลงไปในกระดูกขากรรไกร ซึ่งเป็นตำแหน่งเดียวกันกับฟันจริง

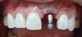
2. แกนฟัน หรือ Abutment ใช้เพื่อต่อส่วนรากฟันเทียมและครอบฟัน (หรือฟันปลอม) ไว้ด้วยกัน อาจเป็นโลหะหรือ Zirconia ก็ได้ เมื่อต่อแกนฟันกับรากเทียมจะได้ลักษณะดังภาพ จะเห็นได้ว่าเมื่อมีแกนฟันแล้ว ครอบฟันจะยึดอยู่ได้อย่างมั่นคง

3. ครอบฟันหรือฟันปลอม อาจเป็นเซรามิกล้วน หรือมีโครงโลหะรองรับ เมื่อสวมบนแกนจะมีลักษณะแบบนี้




ข้อดีของฟันที่รองรับด้วยรากเทียม
1. ฟันรากเทียมมีลักษณะ ให้ความรู้สึกและรองรับแรงบดเคี้ยวได้ใกล้เคียงฟันธรรมชาติมากที่สุดเมื่อเทียบกับฟันปลอมชนิดอื่นๆ
2. ฟันข้างเคียงไม่ต้องถูกกรอเพื่อทำครอบฟัน
3. รากฟันเทียม เมื่ออยู่ในกระดูกขากรรไกรจะช่วยรักษารูปร่างและปริมาณของกระดูกรอบๆ รากฟัน รวมทั้งเหงือกที่คลุมไม่ให้ยุบตัวเป็นการช่วยรักษาโครงหน้าให้คงสภาพเดิม
4. ไม่มีปัญหาเรื่องฟันปลอมหลวม หลุด หรือกระดก ฟันที่รองรับด้วยรากฟันเทียมจะแน่น ยึดอยู่ได้อย่างมั่นคง
นอกจากนี้ การดูแลรักษา คือ การแปรงฟันและการใช้ไหมขัดฟันจะใช้วิธีเดียวกับฟันธรรมชาติ ดังนั้นจึงง่ายกว่า (ต่างจากสะพานฟันที่ไม่สามารถใช้ไหมขัดฟันใส่จากด้านบดเคี้ยวตรงส่วนที่สะพานฟันติดกันได้) การใส่ฟันที่รองรับด้วยรากฟันเทียมจึงเป็นมาตรฐานการดูแลผู้สูญเสียฟันธรรมชาติที่ดีที่สุด อย่างไรก็ตามรากเทียมไม่ใช่คำตอบสำหรับทุกคนหรือทุกกรณี เช่น ผู้ที่มีอายุต่ำกว่า 18 ปี จึงควรนัดปรึกษาทันตแพทย์ก่อน
รากฟันเทียมใช้ในกรณีดังต่อไปนี้
1. สูญเสียฟัน 1 ซี่
2. สูญเสียฟันหลายซี่
3. สูญเสียฟันทั้งปาก
ขั้นตอนการใส่รากฟันเทียม
1. การตรวจปรึกษาทันตแพทย์เฉพาะทาง ถ่ายภาพ X-Ray วางแผนการรักษา เตรียมสุขภาพให้พร้อม ถ้ามีโรคประจำตัวอาจต้องปรึกษาแพทย์ หรือควบคุมให้อยู่ในระยะปลอดภัยก่อน
2. เตรียมช่องปากและบริเวณที่จะฝังรากเทียม ในกรณีที่กระดูกเบ้าฟันบริเวณที่จะฝังรากเทียมยุบตัวอาจต้องเสริมกระดูก (Bone Graft) ขั้นตอนนี้อาจต้องทำให้เสร็จก่อน หรือทำไปพร้อมๆ กับขั้นตอนการฝังรากเทียม ผู้ที่มีปริมาณกระดูกเพียงพอก็ไม่ต้องเสริมกระดูก
3. การผ่าตัดฝังรากเทียม ปกติแล้วเป็นการผ่าตัดเล็กๆ ภายใต้ยาชาเฉพาะที่ เทียบได้กับการถอนฟัน หรือผ่าฟันคุด หลังผ่าตัดจะได้แผลที่ปิดสนิท ซึ่งดูแลง่ายกว่าแผลถอนฟันปกติ
4. การใส่แกนฟันและครอบฟัน หรือสะพานฟัน ฟันปลอม
ระยะเวลาที่ใช้ในการทำฟันรากเทียม
ส่วนใหญ่จะใช้เวลาหลายเดือน เป็นการใช้เวลาระหว่างขั้นที่ 2-3 (ถ้ามี) และขั้นตอนที่ 3-4 ขั้นตอนละ 3-4 เดือน แล้วแต่ปริมาณและคุณภาพของกระดูก ระหว่างขั้นที่ 3-4 เป็นขั้นตอนที่จำเป็นต้องคอยเพื่อให้เซลล์กระดูกมาเกาะและเจริญเติบโตอยู่บนผิวรากเทียม
ภาพตัวอย่างผู้ป่วยใส่ฟันรากเทียม






